Manners Apex System Immediate Implantation in The Anterior Maxilla With Severe Bone Deficiency
Dec 25, 2023
Case Study Sharing - Manners Apex System Immediate Implantation in the Anterior Maxilla with Severe Bone Deficiency
December 25, 2023
Patient Information
Age: 23 years
Main concern: Request for implantation in the anterior maxilla
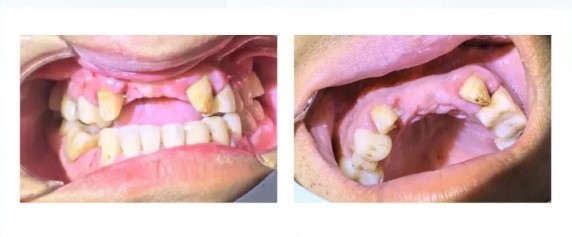
Present medical history: Poorly repaired prosthesis for several years, now removed
Examination findings: A4 porcelain crown repair, loose. A3 is loose, A2-B2 missing, B3 tooth preparation. Gingival swelling.
Preliminary diagnosis: Tooth column deficiency
Preoperative Examination
Oral cavity photograph
Frontal Occlusion Image
NOTE: CBCT (Cone Beam Computed Tomography)


Radiological Examination - Preoperative CBCT
Observation: A3 shows a large-area radiopaque shadow at the root apex, and A4 exhibits bone destruction on the labial side and near the mesial aspect.
Radiological Examination - Preoperative CBCT
Sagittal section reveals bone deficiency in the labial wall near the mesial aspect of A4 and on the buccal side of A3, while the lingual wall remains intact. Adequate bone volume is observed for A2 and B2.

treatment plan
1. Extraction of A4 and A3, followed by the placement of three dental implants from A4 to B, and restoration with five dental crowns.
2. Immediate implantation with thorough removal of granulation tissue.
3. Digitally guided preoperative implant design focused on aesthetic restoration to achieve ideal implant placement orientation.
Three-dimensional reconstruction: Bone deficiency observed in the labial wall near the mesial aspect of A4 and on the buccal side of A3, while the lingual wall remains intact. Adequate bone volume is observed for A2 and B2.
Digital Implant Design
Guided by the restoration, virtual implantation of dental implants is performed.
Extensive bone destruction is observed in A3, leading to bone deficiencies in A4 and A2.

Guided by the restoration, virtual implantation of dental implants is performed.
Due to bone deficiency in the distal aspect of A2, the design is modified to place the implant in the A1 region, avoiding the area of bone deficiency.

Guided by the restoration, virtual implantation of dental implants is performed.
Extensive bone destruction is observed in A3, resulting in bone deficiencies in A4 and A2.

Guided by the restoration, virtual implantation of dental implants is performed.
It is observed that the buccal-lingual bone width is adequate in the A1 region.

Guided by the restoration, virtual implantation of dental implants is performed.
It is observed that the buccal-lingual bone width is adequate in the B2 region.

Surgical Procedure
Extraction of the affected tooth and upon flap elevation, extensive bone deficiency is observed in the mesial aspect of A4 and the distal aspect of A2.

Extraction of the affected tooth and upon flap elevation, extensive bone deficiency is observed in the mesial aspect of A4 and the distal aspect of A2.

Thorough removal of granulation tissue and positioning with a round bur.

A1B2 pilot drill positioning, and verification of axial alignment with a parallel pin.

Using a drill guide and parallel pin, gradually expanding the hole while verifying implant depth and alignment for parallelism.

Sequential implantation of three Manners Apex dental implants.

Sequential implantation of three Manners Apex dental implants.

Preparation of nourishing holes and soft tissue debridement.

Performing Guided Bone Regeneration (GBR) with the implantation of Osseograft bone powder and a bone membrane.

Aligning and suturing the gingiva and shaping the gingival papilla with nylon thread.

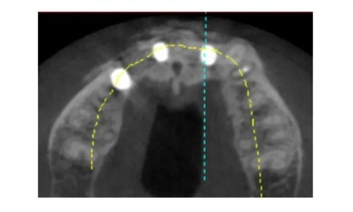
Postoperative Cone Beam Computed Tomography (CBCT)



Clinical summary
Postoperative Summary: Implantation cases in the aesthetic zone of the anterior teeth have consistently been challenging and high-risk. Adequate preoperative design assessment, along with predicting the effects of bone augmentation and analyzing the type of bone deficiency, are crucial.
The Manners Apex dental implant, known for its classic bone-level cylindrical design, effectively dissipates stress in the implanted bone. A well-designed platform transfer contributes to achieving favorable aesthetic outcomes.







